記者李依融/綜合報導
台中市梧棲區驚傳虐狗事件,一名男子深夜持拉鐵門的鐵棒,毆打一隻被綁著的黑狗,過程中狗狗哀號不止,引發鄰居不安。影片曝光後,市議員江河樹與陳廷秀偕同警方與動保處到場處理,並將黑狗緊急送往動物醫院安置。
事件發生在半夜,黑狗的慘叫聲驚醒附近住戶,有人拍下男子持鐵棒毆打黑狗的畫面,上傳至爆料公社求助。江河樹看到影片後,認為虐打情形嚴重,隨即與陳廷秀一同聯繫警方與動保處前往現場,要求將黑狗帶離並接受治療。

▲黑狗目前被安置在動物醫院。(圖/翻攝自江河樹臉書)
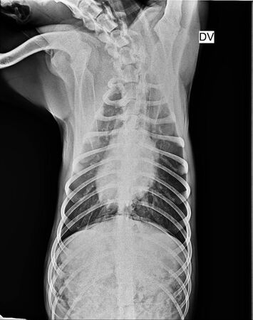
據了解,飼主表示黑狗會咬人,當晚返家時遭咬傷,才會一時氣憤動手。目前黑狗已在動物醫院安置,初步檢查發現眼睛有外傷,但並無明顯骨折情形。

▲X光檢查後,黑狗並無骨折。(圖/翻攝自江河樹臉書)
黑狗親人友善 江河樹有疑慮
然而,江河樹對狗狗的狀況仍感到疑慮。他指出,從影片中暴打的力道與方式來看,推斷狗狗可能受傷不輕,但實際被帶到醫院的黑狗,對人友善、能讓人撫摸,整體狀態似乎與影片中的受害狗不太相符,因此擔心是否出現「A狗換B狗」的情況。
「我們沒有直接證據,只能請大家幫忙,」江河樹也呼籲,若有住在附近的鄰居或目擊者掌握更多線索,希望能提供資訊,協助釐清真相。目前警方與動保處仍持續調查中,黑狗的後續狀況也引發不少網友關注。

▲帶走的黑狗親人和善,江河樹認為與飼主敘述的性格和受暴後的反應有出入。(圖/翻攝自江河樹臉書)
讀者迴響