
▲園寶是一隻蘇格蘭摺耳貓,較易有骨刺等狀況,造成活動不適。(圖/慈愛動物醫院提供)
記者李依融/綜合報導
台中蘇格蘭摺耳貓「園寶」曾是家裡的「小跳躍王」,卻在這半年變得幾乎不願移動、不喜歡被抱,甚至走路時步伐也顯得小心翼翼。經獸醫檢查後,才發現牠的脊椎多處長出了骨刺。在獸醫師的建議下,飼主讓牠嘗試外泌體再生療法,沒想到又能看到園寶邊抓貓抓板、邊呼嚕的可愛模樣。

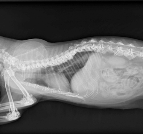
▲園寶X光顯示有骨刺的情況。(圖/慈愛動物醫院提供)
園寶原本是身手靈活的喵星人,卻突然顯得不愛動、悶悶不樂,常常只是窩著看起來沒什麼精神。飼主擔心之下帶園寶求醫,得知新興的外泌體再生療法,抱著嘗試的心情讓園寶接受治療,幾周後園寶的活動力明顯進步。飼主表示,「看到牠重新站起來、伸爪抓板,真的有一種『回家了』的感覺。」那些再平凡不過的小動作,卻是毛孩身體與心情都在變好的證明。

▲園寶開心地抓貓抓板。(圖/慈愛動物醫院提供)
慈愛動物醫院獸醫師表示,很多飼主誤以為貓不動是「懶」或「老了」,其實可能是關節、骨骼問題,尤其摺耳貓這類品種機率較高,「骨刺雖然小,卻會造成摩擦壓迫,讓毛孩不自覺出現慢性疼痛」。
對園寶的家人來說,選擇再生醫學療法,不是為了什麼神奇的治癒,「只是想讓牠舒服一點,這樣就夠了。」看到園寶能自己走一走、回到小窩曬太陽、伸個懶腰、抓一下貓抓板,這些都讓貓奴心裡大滿足。

▲園寶躺下跟奴才撒嬌。(圖/慈愛動物醫院提供)
獸醫師分享,幹細胞、外泌體等再生醫學療法,雖然不能保證完全治癒,但在許多關節退化、骨刺、神經壓迫等疾病中,已經幫助不少毛孩改善生活品質。比起只能長期吃藥或無奈看著毛孩活動力下降,再生醫學是一個「好好活著,不只活下去」的新選擇。
延伸活動資訊|口腔健康也別忽略!
【慈愛動物醫院】將於 7/20(日)14:30–15:30,在台南總院舉辦免費「從齒開始」口腔保健講座,現場報到還送精美提袋與護理牙膏,限額 20 名,錯過不再!
線上報名連結: https://reurl.cc/gROX8b

讀者迴響